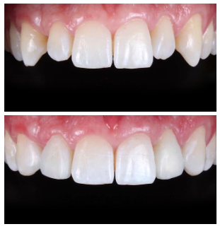
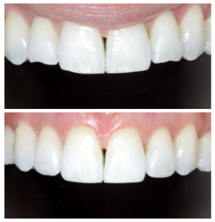
If you’re looking for some of the best composite bonding in London from a highly experienced dentist, our new 5* rated Spitalfields clinic can help.
Our highly experienced team at Smile Hub has been creating dream smiles in central London for over 25 years.
With our extensive dental experience, you can rest assured your composite bonding treatment journey and treatment outcome will be second to none.
In with the new and out with the old: a confidence-boosting new smile is a reality in just one single appointment.
If you have an out of hours dental emergency please read through our Dental Emergency management advice below.
We have ensured we offer some of the best composite bonding prices in London when compared to other expert dentists near us.
Our competitive prices, therefore, start from £330
Smiles in 1 – 3 hours
We also offer flexible payment plans including 0% Interest-free finance for treatment on multiple teeth.
Fill in the form and our friendly team will be in touch with you momentarily
The practice is very clean, well organised, and welcoming, which immediately made me feel comfortable. Dr. Kellie is an excellent dentist. From our first appointment, she made me feel safe and at eas… Read More
I would highly recommend The Smile Hub to anyone. I am so happy with the final outcome of my composite bonding procedure after my Invisalign treatment. Hena & Kumari gave me the perfect composite bond… Read More
I very rarely write reviews but the exceptional care, attention to detail and experience deserve recognition to Hena and Fatma who carried out composite bonding on my teeth. I’m beyond thrilled with t… Read More
Excellent care and support: Dr. Kush and Fatma worked overtime to perform a much-needed emergency tooth extraction for me. The experience was great from diagnosis, extraction to post surgery support. … Read More
I have been going to smile hub for 5 years and the service, care, and most importantly the quality of work on my teeth has been outstanding. Maria (and Shabana) have been my regular hygienists, with C… Read More