Our expert City of London Invisalign dentists in Spitalfields are more than happy to answer any questions you might have about Invisalign teeth straightening.












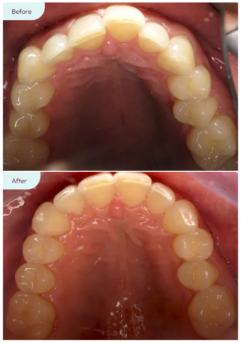
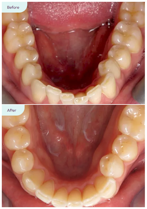
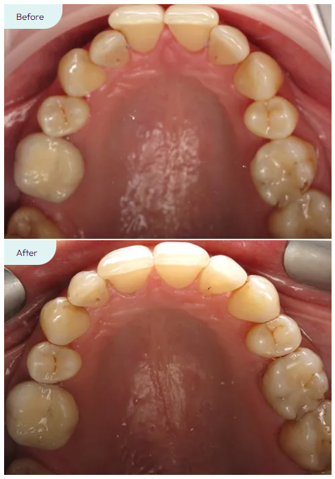
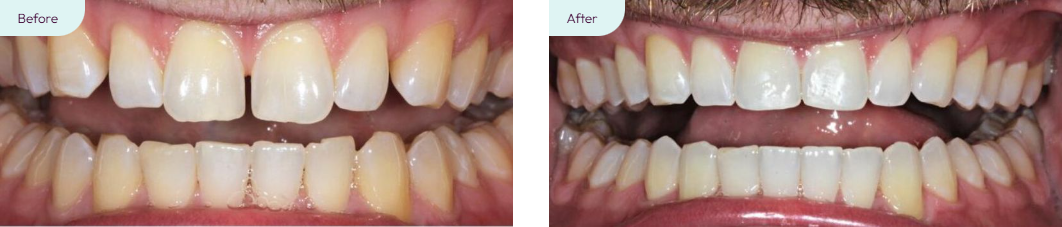
We are proud to be awarded Diamond Invisalign provider status – one of very few City of London dentists to have achieved this status. Our team are highly skilled in dealing with a range of cases from simple to complex crowding.
As an experienced Invisalign Diamond provider we understand your needs and ensure the best planning and care for your treatment.
With over 23 years extensive dentistry experience, our Principal Cath Freestone has been awarded a Post Graduate Diploma in Aligner Therapy.
She is one of the first clinicians to graduate with this qualification that focuses on planning and providing Invisalign care to a high standard.
Fill in the form and our friendly team will be in touch with you momentarily
The practice is very clean, well organised, and welcoming, which immediately made me feel comfortable. Dr. Kellie is an excellent dentist. From our first appointment, she made me feel safe and at eas… Read More
I very rarely write reviews but the exceptional care, attention to detail and experience deserve recognition to Hena and Fatma who carried out composite bonding on my teeth. I’m beyond thrilled with t… Read More
I would highly recommend The Smile Hub to anyone. I am so happy with the final outcome of my composite bonding procedure after my Invisalign treatment. Hena & Kumari gave me the perfect composite bond… Read More
I’m very greatful that I’ve selected Smile Hub as my dentist of choice because all my dental issues have finally been fixed. I’ve had all my filling done by Dr Shaikho and Dr Shabana. I’m exci… Read More
I have been going to smile hub for 5 years and the service, care, and most importantly the quality of work on my teeth has been outstanding. Maria (and Shabana) have been my regular hygienists, with C… Read More